H1 Title Text

Braces Treatment in Palanpur – Straighten Teeth with Confidence

By Dr. Motilal Agrawal & Dr. Chintan Agrawal | Astha Multi Speciality Dental Clinic
We offer comprehensive Orthodontic Braces Treatment in Palanpur for children, teens, and adults. Whether you are facing alignment issues, gaps, or bite problems, our clinic provides personalised and advanced solutions using modern orthodontic systems like ceramic, sapphire, self-ligating braces, and invisible aligners (Clear Path).

Types of Braces We Offer:

  • Metal Braces – Classic, durable, and highly effective for all types of corrections.
  • Clear Aligners – Removable, transparent trays designed for discreet treatment.
  • Lingual Braces – Fixed behind the teeth for a completely invisible look.
  • Ceramic Braces – Tooth-colored braces for aesthetic correction.
  • Self-ligating Braces – Require fewer adjustments and offer faster, more comfortable treatment.
Read More

What Is Orthodontic Treatment?

Orthodontics is a dental specialty focused on correcting the alignment of teeth and jaws. It helps treat:

  • Crooked or crowded teeth
  • Spacing or gaps
  • Overbite, underbite, crossbite
  • Jaw alignment problems

Using the latest diagnostic tools and techniques, we offer customised treatment plans to improve both oral health and smile aesthetics.

Read More

Braces Cost in Palanpur

At Astha Multi Speciality Dental Clinic, we believe in making high-quality dental care accessible. Our orthodontic treatment starts at just ₹999, depending on the type of braces and complexity of the case. Transparent pricing and flexible payment options are available.

Read More

Frequently Asked Questions (FAQs)

Orthodontics is a branch of dentistry that treats misaligned teeth and jaws to improve appearance and function.

If you experience issues like crowding, spacing, overbite, or jaw discomfort, a consultation can help determine your need.

After assessment and x-rays, we create a treatment plan and fix the chosen type of braces or aligners. Regular follow-ups are scheduled to monitor progress.

Early intervention often results in better, faster outcomes and helps avoid complications later.

On average, 12 to 24 months – but it varies based on severity and type of braces.

Ideal age is between 10 and 14, but adults can also get excellent results with braces or aligners.

Yes! Modern braces and clear aligners are perfect for adults looking for a subtle and effective solution.

There may be mild discomfort during the first few days or after adjustments, which usually subsides quickly.

This depends on your individual case. Mild corrections may take 6-12 months, while more complex treatments could take longer.

Why Choose Us?

  • Experienced care by Dr. Motilal & Dr. Chintan Agrawal
  • Advanced technology with digital treatment planning
  • Comfortable and hygienic environment
  • Affordable and transparent pricing
  • Customised treatment plans for kids, teens & adults
Read More

Crowdedbite

Read More

Overbite

Read More

Lorem ipsum dolor sit amet consectetuer

Read More

Lorem ipsum dolor sit amet consectetuer

Read More

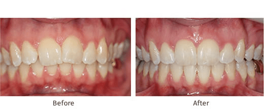
Crossdbite

Read More

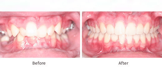
Openbite

Read More

Lorem ipsum dolor sit amet consectetuer

Read More

Lorem ipsum dolor sit amet consectetuer

Read More