H1 Title Text

Smile Makeover & Digital Smile Design in Palanpur

By Dr. Motilal Agrawal & Dr. Chintan Agrawal | Astha Multi Speciality Dental Clinic
Does your smile make you feel self-conscious? Do you avoid smiling in photos or social situations? If you feel your smile could be more attractive or confident, you are not alone—and we’re here to help. With advancements in cosmetic dentistry and Digital Smile Design (DSD), transforming your smile is more accessible, comfortable, and affordable than ever before.

Read More

What is Digital Smile Design (DSD)?

Digital Smile Design is an advanced treatment planning protocol that uses digital tools like high-resolution photography, videos, and facial analysis to design the perfect smile for you. It ensures precision, predictability, and patient involvement before beginning any cosmetic procedure.
At Astha Multi Speciality Dental Clinic, Palanpur, we blend technology with artistry to deliver stunning smiles tailored to your face and personality.

Read More

Looking For an Affordable SMILE MAKEOVER TREATMENT

Agarwal Dental Clinic provides you world class smile makeover services with the latest advanced technologies and Equipments in Ahmedabad Shahibaug & Satellite. A smile makeover is a customized combination of a wide range of dental treatments to enhance & beautify your smile mainly anterior teeth.

Smile Makeover Can Treat Below Problems

Misaligned crowded teeth/crooked/Fractured teeth/ Chipped teeth

Read More

Gaps between teeth(spacing)

Read More

Missing Teeth

Read More

Yellow/Brownish/stained/pitted/rough teeth

Read More

Gummy smile

Read More

Improper length, width & shape of teeth

Read More

Black/dark gums

Read More

Our Comprehensive Smile Makeover Solutions Include:

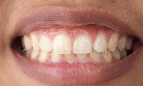
Dental Veneers

Wafer-thin, custom-made shells that cover the front surface of teeth to improve their color, shape, size, or length. Veneers are perfect for fixing chipped, worn, or discolored teeth with a minimally invasive approach.

Types
  • Porcelain Veneers – Highly aesthetic and stain-resistant
  • Composite Veneers – Budget-friendly and easier to repair
Read More

Composite Bonding

An effective and affordable cosmetic treatment where a tooth-colored resin is applied and hardened with a special light. It helps in:

  • Fixing chipped or cracked teeth
  • Closing small gaps
  • Enhancing tooth shape

Quick, non-invasive, and completed in a single visit!

Read More

Teeth Whitening / Bleaching

Brighten your smile with our in-clinic or take-home whitening options. We use safe, advanced bleaching agents and laser systems to remove stains and lighten tooth color effectively.

Benefits:
  • Fast and noticeable results
  • Safe and gentle on enamel
  • Boosts self-confidence instantly
Read More

Dental Implants

Replace missing teeth with permanent and natural-looking implants. Implants restore function and aesthetics while preserving jawbone health. Ideal for single or multiple missing teeth.

Features:
  • Long-lasting solution
  • Looks and feels like natural teeth
  • Improves chewing ability and facial appearance
Read More

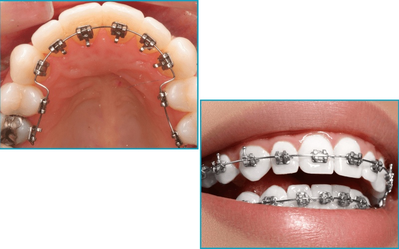
Braces & Clear Aligners

Orthodontic treatments correct misaligned teeth and bite issues while enhancing facial balance and smile symmetry.

Options:
  • Metal Braces
  • Ceramic Braces
  • Clear Aligners (Invisible)
  • Self-Ligating Braces

Perfect for children, teens, and adults who want a straighter, healthier smile.

Read More

Gum Reshaping / Contouring

A "gummy smile" or uneven gum line can affect your smile’s appearance. We offer laser gum contouring to reshape gum tissues and expose more of your natural teeth.

Benefits:
  • Balanced smile proportions
  • Minimally invasive treatment
  • Enhanced oral hygiene
Read More

Why Choose Astha Dental Clinic in Palanpur?

  • Led by experienced dentists Dr. Motilal Agrawal & Dr. Chintan Agrawal
  • Latest dental technologies and DSD systems
  • Comprehensive range of cosmetic and restorative treatments
  • Personalized smile designs to suit every face
  • Affordable packages with transparent pricing
Read More