H1 Title Text

Full Mouth Rehabilitation in Palanpur

By Dr. Motilal Agrawal & Dr. Chintan Agrawal
Astha Multi Speciality Dental Clinic
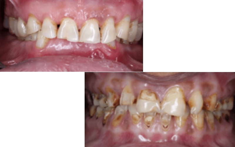
A healthy, balanced bite is the foundation of strong teeth, jaw support, and long-term oral health. If you're facing multiple dental concerns—missing, worn out, fractured, or decayed teeth—Full Mouth Rehabilitation offers a complete solution to restore function, aesthetics, and harmony to your smile.
At Astha Multi Speciality Dental Clinic in Palanpur, we specialize in creating personalized full mouth reconstruction plans that not only transform smiles but also improve your ability to eat, speak, and live with confidence.

Read More

When Do You Need Full Mouth Rehabilitation?

You may benefit from full mouth rehabilitation if you experience:

  • Multiple missing teeth (due to trauma, decay, or aging)
  • Severely worn down or decayed teeth
  • Cracked, fractured, or chipped teeth
  • Tooth enamel disorders like Amelogenesis Imperfecta
  • Long-term damage due to bruxism (teeth grinding), tobacco, or acidic erosion
  • Jaw or muscle pain, frequent headaches, or bite misalignment
  • Reduced chewing ability and a visible change in facial height or shape
Read More

What Does Full Mouth Rehabilitation Involve?

Every patient’s mouth is unique. Our approach includes a thorough clinical, radiographic, and digital analysis to create a tailor-made treatment plan. We focus on both functional correction and cosmetic enhancement.

We conduct:
  • Full dental and jaw examination
  • Digital photographs and smile analysis
  • Bite registration and facebow records
  • Diagnostic impressions and study models
  • Digital smile preview before treatment begins
Read More

Based on your condition, the treatment may include a combination of:

  • Dental Veneers, Laminates, and Inlays/Onlays
  • Table-top restorations for worn-down teeth
  • Full coverage crowns (Zirconia, E-Max, Lithium Disilicate, or Porcelain)
  • Dental implants to replace missing or non-salvageable teeth
  • Occlusal correction to restore ideal bite and jaw alignment

Our prosthodontic expertise ensures your new teeth are in harmony with your gums, joints, muscles, and ligaments—resulting in a fully balanced, natural-looking smile.

Why Choose Full Mouth Rehabilitation at Astha Dental, Palanpur?

Benefits:
  • Restores chewing efficiency and bite strength
  • Brings back your natural facial height and symmetry
  • Improves overall oral function
  • Offers relief from chronic jaw/muscle pain and headaches
  • Rejuvenates your appearance with a more youthful, confident smile
  • Prevents future dental complications and loss of remaining teeth
Read More

Ready to Rebuild Your Smile?

Whether you’re dealing with multiple dental issues or looking for a complete dental makeover, we at Astha Multi Speciality Dental Clinic – Dr. Motilal & Dr. Chintan Agrawal, are here to guide you through every step. Our goal is to help you rediscover the joy of eating, speaking, and smiling—comfortably and confidently.
Book your consultation today to explore your options for Full Mouth Rehabilitation in Palanpur. Let’s restore your smile—and your quality of life.

Read More