H1 Title Text

What is Flap Surgery?

Advanced Gum Treatment for Deep Cleaning and Gum Disease Control
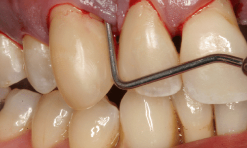
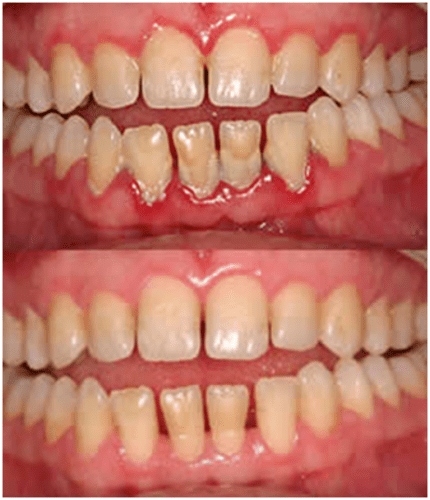
At Astha Multi Speciality Dental Clinic, Palanpur, we offer Gingival Flap Surgery, a proven and effective procedure to treat moderate to advanced gum disease (periodontitis/pyorrhea). In this procedure, the gums are gently lifted away from the teeth to provide deep access to the roots and underlying bone, allowing thorough cleaning and treatment of infected tissues.
This advanced periodontal procedure helps restore gum health, eliminate infection, and support the long-term stability of your teeth.

Read More

When is Flap Surgery Recommended?

Flap surgery is usually advised when non-surgical treatments such as scaling and root planing fail to resolve gum infection. It is typically recommended for:

  • Moderate to severe periodontitis
  • Persistent gum pockets and bone loss
  • Gum swelling or overgrowth
  • Cases needing guided tissue regeneration or bone grafting

If your gums are receding, swollen, or bleeding frequently, you may be a candidate for flap surgery to restore healthy attachment between the gums and teeth.

Read More

How is Flap Surgery Done?

  • Local anesthesia is given to numb the area for your comfort.
  • A small flap incision is made, and the gums are gently separated from the teeth.
  • The dentist gains direct access to the roots and jawbone.
  • All plaque, tartar, and infected tissue is removed.
  • Scaling and root planing is done to smooth the root surfaces.
  • If necessary, bone reshaping (osseous recontouring) is performed to remove irregularities.
  • The gum tissue is carefully repositioned and stitched back in place.
  • A periodontal dressing or pack may be placed over the surgical area for protection.
  • In case of bone loss, bone grafting material may be used to support regeneration.
Read More