H1 Title Text

What is Gingivectomy?

Restoring Gum Health and Aesthetics
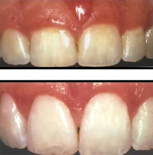
At Astha Multi Speciality Dental Clinic, Palanpur, Gingivectomy is offered as an effective solution to treat abnormally enlarged gums (gingiva). This condition may arise due to poor oral hygiene, long-term use of certain medications, or underlying gum disease. Gingivectomy involves trimming and reshaping the excess gum tissue to restore a healthier appearance and prevent further oral issues.
The procedure is usually performed by a periodontist (gum specialist). In many cases, dental lasers are used to perform the treatment painlessly and with minimal bleeding.

Read More

How is Gingivectomy Done?

  • Initially, scaling (professional cleaning) is carried out using an ultrasonic scaler to remove plaque and tartar from the teeth.
  • In the next sitting, the area is numbed using local anesthesia (though lasers may reduce or eliminate the need for it).
  • The diseased or overgrown gum tissue is carefully trimmed or vaporized using surgical tools or lasers.
  • The remaining gum tissue is contoured for a clean, natural look.
  • A periodontal dressing (putty-like substance) is placed over the surgical site to protect it during the healing process.
Read More

Why is Gingivectomy Necessary?

Overgrown gums can appear red, swollen, and may bleed frequently. They can trap bacteria, causing further oral damage and making your smile appear puffy or uneven. Gingivectomy helps by:

  • Treating bleeding gums
  • Reducing gum overgrowth to normal size
  • Enhancing smile aesthetics and gum symmetry
  • Preventing bacterial buildup in excess tissue
  • Improving overall oral hygiene and comfort

Whether the cause is medication-induced or due to tartar accumulation, gingivectomy restores health and beauty to your gums.

Read More