H1 Title Text

A Personalized Approach to a Perfect Smile

At Palanpur Dental – Astha Multi Speciality Dental Clinic, we don’t just focus on the mechanical correction of your teeth or smile line. Our philosophy goes beyond routine procedures—we consider the complete you.

From your age, occupation, and gender to the tone of your skin, hair, eyes, build, and facial features, every detail plays a role in designing a smile that truly suits you. Our approach is personalized and holistic, ensuring that your new smile enhances your natural charm and complements your overall personality.

Read More

We believe in delivering flawless results that not only elevate your appearance but also boost your confidence, making your smile a true source of pride.

Cosmetic Dental Procedures at Our Clinic Address:

Dental Problems

Crooked/broken teeth or gaps in the teeth

Read More

Dark,stained or yellow teeth

Read More

Low gum line or visible gums

Read More

Dark gums

Read More

Enamel shaping, ceramic, veneers, composite built-ups

Read More

Instant teeth whitening

Read More

Crown lengthening and gum lifts

Read More

Gum depigmentation

Read More

Cosmetic Treatments

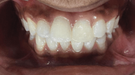
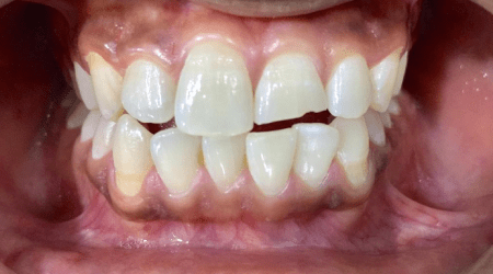
At Palanpur Dental – Astha Multi Speciality Dental Clinic, we believe your smile is the most striking part of your personality. A bright, confident smile not only enhances your appearance but also leaves a lasting impression wherever you go.

Whether you're looking to correct imperfections, restore symmetry, or enhance the brilliance of your teeth, we offer a wide range of cosmetic dental treatments designed to transform your smile and boost your self-esteem.

Enamel Shaping / Contouring

At Palanpur Dental – Astha Multi Speciality Dental Clinic, we offer Enamel Shaping or Contouring, a quick and painless procedure to refine the appearance of your teeth. In this treatment, we carefully trim minor irregularities or uneven edges to enhance the overall shape and symmetry of your teeth.

Read More

Dental Reshaping / Contouring

At Palanpur Dental – Astha Multi Speciality Dental Clinic, we perform Dental Reshaping or Contouring to correct major irregularities such as crooked teeth, chipped teeth, cracked teeth, or overlapping teeth—often in just a single session.

Read More

Bonding

At Palanpur Dental – Astha Multi Speciality Dental Clinic, we offer tooth bonding—a quick and effective cosmetic procedure to enhance your smile. In this technique, a tooth-colored, enamel-like dental composite material is carefully applied to the tooth surface.

Read More

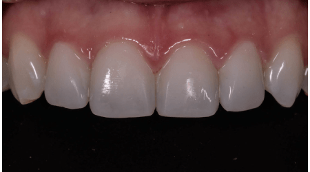
Veneers

At Palanpur Dental – Astha Multi Speciality Dental Clinic, we provide high-quality veneers, which are ultra-thin, custom-made porcelain laminates designed to cover the front surface of your teeth. These are securely bonded directly to the enamel, offering a long-lasting and natural-looking smile enhancement.

Read More

Gum Lift

At Palanpur Dental – Astha Multi Speciality Dental Clinic, our Gum Lift procedure reshapes excess or uneven gum tissue to reveal a more balanced and attractive smile. This quick, effective treatment enhances tooth visibility and improves overall smile symmetry.

Read More

Bite Reclamation

At Palanpur Dental – Astha Multi Speciality Dental Clinic, we offer Bite Reclamation treatment for individuals with a shortened or collapsed facial appearance due to excessive tooth wear. By using temporary bridges, we carefully open the bite and restore the lost vertical dimension of the face.

Read More